Premium Only Content
This video is only available to Rumble Premium subscribers. Subscribe to
enjoy exclusive content and ad-free viewing.
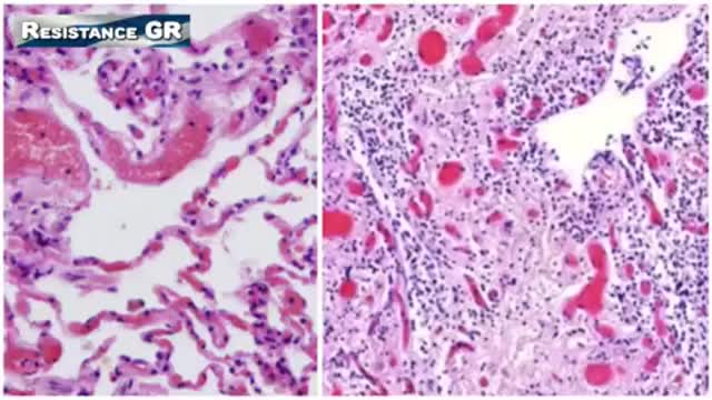
ΑΔΙΑΜΦΙΣΒΗΤΗΤΕΣ ΑΠΟΔΕΙΞΕΙΣ ΓΙΑ ΤΙΣ ΒΛΑΒΕΣ ΑΓΓΕΙΩΝ ΚΑΙ ΟΡΓΑΝΩΝ ΑΠΟ ΕΜΒΟΛΙΑ mRNA...
Loading comments...
-
2:36:50
Blabs Games
13 hours agoLet's Get Those 5 Stars! Jurassic World Evolution 3 Playthrough #7
26.3K3 -
1:03:59
Flyover Conservatives
23 hours ago$117K Paywall to Protect School’s Indoctrination? The Education System’s Biggest Secret w/ Nicole Solas | FOC Show
37.7K -
We Like Shooting
16 hours ago $0.95 earnedWe Like Shooting 636 (Gun Podcast)
17.1K1 -
1:53:24
RiftTV
6 hours agoFBI Director Kash Patel Sues Elijah Schaffer for $5 MILLION?!
55.4K28 -
LIVE
DannyStreams
3 hours agoPutting this here until we get noticed
324 watching -
3:59:41
SOLTEKGG
4 hours ago🔴LIVE - Battlefield 6 REDSEC (30+ KILL WORLD RECORD)
20.2K -
50:26
BonginoReport
11 hours agoElections Post-Mortem with Mayor Scott Singer - Nightly Scroll w/ Hayley Caronia (Ep.174)
96.2K24 -
3:14:01
XDDX_HiTower
4 hours ago $0.88 earnedARC RAIDERS, FIRST DROP IN
18K -
LIVE
Eternal_Spartan
14 hours ago🟢 Eternal Spartan Plays Resident Evil 8 | USMC Veteran
63 watching -
45:54
Donald Trump Jr.
9 hours agoGood Luck Chuck! The Left Lashes Out Over Shutdown Scheme's Failure | Triggered Ep.290
125K83