Premium Only Content
This video is only available to Rumble Premium subscribers. Subscribe to
enjoy exclusive content and ad-free viewing.

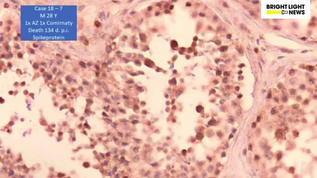
הפתולוג ארן בורקהרדט חוקר חלבוני ספייק המתבטאים באשכים אם הייתי אישה בגיל הפוריות לא הייתי מתכננת ילד מגבר שחוסן
Loading comments...
-
2:36
Covid News Updates &whistleblower | ערוץ קוביד חדשות עדכונים וחושפי שחיתויות
5 days agoרופא מתנצל ודומע כאשר הוא מגלה את האמת על החיסונים
48 -
LIVE
freecastle
5 hours agoTAKE UP YOUR CROSS- CONTEND earnestly for the FAITH once for all entrusted to the Saints!
180 watching -
1:09:38
vivafrei
2 hours agoLiquid Death-Gate! Text Message-Gate! Ostrich-Gate! AN
57K24 -
The HotSeat
1 hour agoAmericans Are Turning Back to God — While Terror Rises Again in Gaza
3.58K -
LIVE
Owen Shroyer
1 hour agoOwen Report - 10-15-2025 - Government Shutdown Political Slop Show Continues
1,340 watching -
1:26:01
The Quartering
3 hours agoYoung Republican Smear, Woke Sidewalks Washed Away, Major Changes To X & More
90.2K37 -
1:36:03
Darkhorse Podcast
4 hours agoThe 296th Evolutionary Lens with Bret Weinstein and Heather Heying
16.3K10 -
LIVE
StoneMountain64
2 hours agoI can't stop playing BATTLEFIELD 6
49 watching -
1:05:17
Jeff Ahern
2 hours ago $0.76 earnedNever Woke Wednesday with Jeff Ahern
16.3K2 -
1:24:59
Sean Unpaved
5 hours agoPrime Pulse: Yamamoto's Gem, Mendoza & Simpson's Title Quest, & NFL QB Rule Shift
31.6K1